×
模态框(Modal)标题
在这里添加一些文本
关闭
关闭
提交更改
取消
确定并提交
×
模态框(Modal)标题
×
切换至 "中华医学电子期刊资源库"
高级检索
图表检索
导航切换
中华肾病研究电子杂志
首页
优先出版
当期目录
过刊浏览
音视频
期刊介绍
期刊介绍
稿约
数据库收录
读者指南
常见问题
Email Alert
编委会
订阅
在线投稿
图/表 详细信息
阻塞性睡眠呼吸暂停综合征伴发肥胖相关性肾小球疾病:1例报告及文献复习
陈晓海, 魏立新, 邱琳蕾, 谢祖刚, 陈晴, 陈仁芬
中华肾病研究电子杂志 . 2026, 15 (
01
): 57-59.
摘要
(
0
)
HTML
(
0
)
PDF
( 1466 )
(
0
)
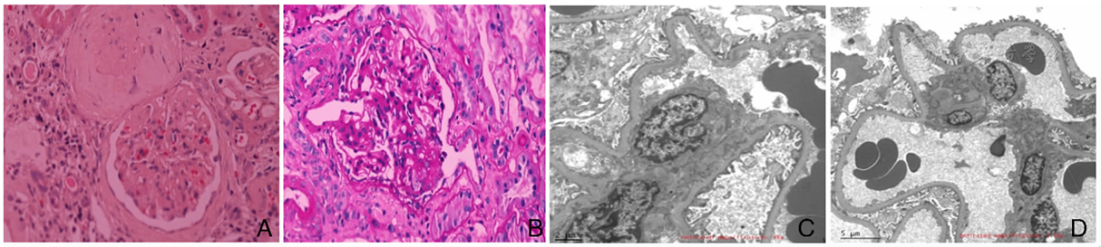
图1
患者的肾小球光镜、电镜检查
注:A:肾小球球性硬化(苏木精-伊红染色×400);B:肾小球节段性硬化,节段性硬化区域位于尿极处伴周边脏层细胞肥大(过碘酸-雪夫染色×400);C:系膜细胞和基质轻度增生,肾小球各部位未见确切电子致密物沉积(电镜×4 000);D:肾小球足细胞足突大部分融合(电镜×2 500)
本文的其它图/表
版权所有 中华医学会 中华医学电子音像出版社有限责任公司 京ICP备14006079号-1 网络出版服务许可证:(署)网出证(京)字第075号
AI
小
编
AI小编
你好!我是《中华医学电子期刊资源库》AI小编,有什么可以帮您的吗?