切换至 "中华医学电子期刊资源库"

中华肾病研究电子杂志 ›› 2025, Vol. 14 ›› Issue (06) : 351 -356. doi: 10.3877/cma.j.issn.2095-3216.2025.06.008

病例报告

基于泛血管疾病概念下的慢性肾脏病患者风险评估与综合管理:一例报告及文献复习
鲜华明1, 张英1, 谢席胜1,2,3,4,()   
  1. 1637000 川北医学院附属南充市中心医院肾内科
    2637000 南充市慢性肾脏病基础与临床研究重点实验室
    3南充市临床医学研究中心
    4四川省名中医工作室
  • 收稿日期:2024-09-18 出版日期:2025-12-28
  • 通信作者: 谢席胜
  • 基金资助:
    四川省中医药管理局科研专项基金(2024-228); 四川省科技厅科研专项基金(2021YFS0259)

Risk assessment and comprehensive management of chronic kidney disease patients based on the concept of pan-vascular disease: a case report and literature review

Huaming Xian, Ying Zhang, Xisheng Xie()   

  • Received:2024-09-18 Published:2025-12-28
  • Corresponding author: Xisheng Xie
引用本文:

鲜华明, 张英, 谢席胜. 基于泛血管疾病概念下的慢性肾脏病患者风险评估与综合管理:一例报告及文献复习[J/OL]. 中华肾病研究电子杂志, 2025, 14(06): 351-356.

Huaming Xian, Ying Zhang, Xisheng Xie. Risk assessment and comprehensive management of chronic kidney disease patients based on the concept of pan-vascular disease: a case report and literature review[J/OL]. Chinese Journal of Kidney Disease Investigation(Electronic Edition), 2025, 14(06): 351-356.

图1 颈部血管和下肢血管彩超与眼底检查注:A、B:颈部血管超声可见双侧颈总动脉、颈内外动脉管径正常,内膜面不光滑,右侧颈总动脉分又处内-中膜不均增厚;C、D:下肢血管超声可见双侧下肢股总、股深、股浅、胭、胫前、胫后动脉管径正常,内-中膜欠光滑,动脉壁上可见数个强弱相间回声斑;E、F:分别为左右眼眼底检查可见双眼视盘界清,色正,生理凹陷无扩大,双眼视网膜动脉走行平直,动脉变细,A/V=1.2,可见动静脉压迹
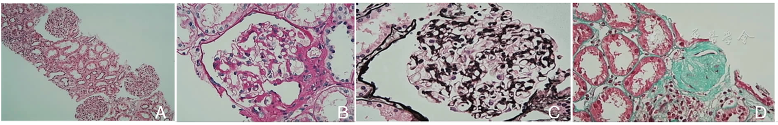
图2 肾组织光镜表现注:A:HE×100;B:PAS×400;C:PASM×400;D:Masson×400;可见肾小球体积增大,系膜细胞和基质轻度增生;肾小管上皮细胞颗粒变性及灶状萎缩;肾间质灶状炎症细胞浸润伴纤维化
图3 肾组织荧光染色表现注:A:IgM(+/-)(免疫荧光×200);B:ALB(-)(免疫荧光×40);未见明显免疫复合物沉积
图4 肾组织电镜表现注:A:电镜×6 000;B:电镜×6 000;肾小球基底膜偏薄;未见确切电子致密物沉积
图5 肾血管损害病理表现注:A:PASM×200;B:PASM×200;C:PASM×200;可见小动脉管壁增厚,节段性玻璃样变,管腔狭窄
[1]
Lanzer P, Topol EJ. Panvascular medicine [M]. New York: Springer, 2002.
[2]
杨靖,王克强,霍勇,等. 泛血管疾病综合防治科学声明[J]. 中国循环杂志2019, 34 (11): 1041-1046.
[3]
杨靖,张英梅,葛均波. 泛血管疾病防控——从疾病治疗到综合管理[J/OL]. 中华心血管病杂志(网络版), 2021, 4(1): 1-6.
[4]
国家心血管病中心,中国心血管健康与疾病报告编写组,胡盛寿. 中国心血管健康与疾病报告2023概要[J]. 中国循环杂志2024, 39(7): 625-660.
[5]
Roumeliotis S, Mallamaci F, Zoccali C. Endothelial dysfunction in chronic kidney disease, from biology to clinical outcomes: a 2020 update [J]. J Clin Med, 2020, 9(8): 2359.
[6]
Lim YJ, Sidor NA, Tonial NC, et al. Uremic toxins in the progression of chronic kidney disease and cardiovascular disease: mechanisms and therapeutic targets [J]. Toxins (Basel), 2021, 13(2): 142.
[7]
Hobson S, Arefin S, Witasp A, et al. Accelerated vascular aging in chronic kidney disease: the potential for novel therapies [J]. Circ Res, 2023, 132(8): 950-969.
[8]
Matsushita K, Ballew SH, Wang AY, et al. Epidemiology and risk of cardiovascular disease in populations with chronic kidney disease [J]. Nat Rev Nephrol, 2022, 18(11): 696-707.
[9]
中国医师协会心血管内科医师分会. 泛血管疾病抗栓治疗中国专家共识(2024版)[J]. 中华医学杂志2024, 104(12): 906-923.
[10]
中国医师协会心血管内科医师分会,《2型糖尿病患者泛血管疾病风险评估与管理中国专家共识版)》专家组. 2型糖尿病患者泛血管疾病风险评估与管理中国专家共识(2022版)[J]. 中国循环杂志2022, 37(10): 974-990.
[11]
Wang L, Xu X, Zhang M, et al. Prevalence of chronic kidney disease in China: results from the sixth China chronic disease and risk factor surveillance [J]. JAMA Intern Med, 2023, 183(4): 298-310.
[12]
Johansen KL, Gilbertson DT, Li S, et al. US renal data system 2023 annual data report: epidemiology of kidney disease in the United States [J]. Am J Kidney Dis, 2024, 83(4 Suppl 1): A8-A13.
[13]
Lawson CA, Seidu S, Zaccardi F, et al. Outcome trends in people with heart failure, type 2 diabetes mellitus and chronic kidney disease in the UK over twenty years [J]. EClinicalMedicine, 2021, 32: 100739.
[14]
中国医师协会肾脏内科医师分会心肾综合征指南工作组. 心肾综合征诊疗的临床实践指南(2023版)[J].中华医学杂志2023, 103(46): 3705-3759.
[15]
中华预防医学会肾脏病预防与控制专业委员会. 中国慢性肾脏病早期评价与管理指南[J]. 中华内科杂志2023, 62(8): 902-930.
[16]
Kidney Disease: Improving Global Outcomes (KDIGO) CKD Work Group. KDIGO 2024 clinical practice guideline for the evaluation and management of chronic kidney disease [J]. Kidney Int, 2024, 105(4S): S117-S314.
[17]
Wong M, Dai Y, Ge J. Pan-vascular disease: what we have done in the past and what we can do in the future? [J]. Cardiol Plus, 2024, 9(1): 1-5.
[18]
上海市肾内科临床质量控制中心专家组. 慢性肾脏病早期筛查、诊断及防治指南(2022年版)[J]. 中华肾脏病杂志2022, 38(5): 453-464.
[19]
中国血脂管理指南修订联合专家委员会. 中国血脂管理指南(2023年)[J]. 中国循环杂志2023, 38(3): 237-271.
[20]
Lee C, Park JT, Chang TI, et al. Low-density lipoprotein cholesterol levels and adverse clinical outcomes in chronic kidney disease: Results from the KNOW-CKD [J]. Nutr Metab Cardiovasc Dis, 2022, 32(2): 410-419.
[21]
Liu Y, He Q, Li Q, et al. Global incidence and death estimates of chronic kidney disease due to hypertension from 1990 to 2019, an ecological analysis of the global burden of diseases 2019 study [J]. BMC Nephrol, 2023, 24(1): 352.
[22]
Wang N, Mustafa R, Zuber V, et al. Association between systolic blood pressure and low-density lipoprotein cholesterol with coronary heart disease according to age [J]. PLoS One, 2023, 18(12): e0295004.
[23]
Cheung AK, Chang TI, Cushman WC, et al. Executive summary of the KDIGO 2021 clinical practice guideline for the management of blood pressure in chronic kidney disease [J]. Kidney Int, 2021, 99(3): 559-569.
[24]
中华医学会肾脏病学分会专家组. 中国慢性肾脏病患者高血压管理指南(2023年版)[J]. 中华肾脏病杂志2023, 39(1): 48-80.
[25]
Ku E, Mcculloch CE, Inker LA, et al. Intensive BP control in patients with CKD and risk for adverse outcomes [J]. J Am Soc Nephrol, 2023, 34(3): 385-393.
[26]
Park CH, Kim HW, Park JT, et al. The 2021 KDIGO blood pressure target and the progression of chronic kidney disease: findings from KNOW-CKD [J]. J Intern Med, 2023, 294(5): 653-664.
[27]
van der Velde M, Matsushita K, Coresh J, et al. Lower estimated glomerular filtration rate and higher albuminuria are associated with all-cause and cardiovascular mortality. A collaborative meta-analysis of high-risk population cohorts [J]. Kidney Int, 2011, 79(12): 1341-1352.
[28]
吴雪怡,马文君,邹玉宝,等. 血压昼夜节律与年轻高血压患者靶器官损伤的相关性[J]. 中华高血压杂志2021, 29 (4): 400.
[29]
Wang C, Li Y, Zhang J, et al. Prognostic effect of isolated nocturnal hypertension in Chinese patients with nondialysis chronic kidney disease [J]. J Am Heart Assoc, 2016, 5(10): e004198.
[30]
Lin YC, Tsao HM, Lai TS, et al. Effect of lipid-lowering drugs on renal and cardiovascular outcomes in patients with chronic kidney disease and dyslipidemia: a retrospective cohort study [J]. Clin Pharmacol Ther, 2023, 114(6): 1366-1374.
[31]
Byrne RA, Rossello X, Coughlan JJ, et al. 2023 ESC guidelines for the management of acute coronary syndromes [J]. Eur Heart J, 2023, 44(38): 3720-3826.
[32]
Herman-Edelstein M, Weinstein T, Chagnac A. Obesity-related glomerulopathy: clinical management [J]. Semin Nephrol, 2021, 41(4): 358-370.
[33]
Martínez-Montoro JI, Morales E, Cornejo-Pareja I, et al. Obesity-related glomerulopathy: current approaches and future perspectives [J]. Obes Rev, 2022, 23(7): e13450.
[34]
《钠-葡萄糖转运体2抑制剂在慢性肾脏病患者临床应用的中国专家共识(2023年版)》专家组. 钠-葡萄糖转运体2抑制剂在慢性肾脏病患者临床应用的中国专家共识(2023年版)[J]. 中华肾脏病杂志2023, 39(11) : 879-888.
No related articles found!
阅读次数
全文


摘要


AI


AI小编
你好!我是《中华医学电子期刊资源库》AI小编,有什么可以帮您的吗?