切换至 "中华医学电子期刊资源库"

中华肾病研究电子杂志 ›› 2025, Vol. 14 ›› Issue (06) : 357 -359. doi: 10.3877/cma.j.issn.2095-3216.2025.06.009

病例报告

人工流产术后感染致肾皮质坏死:一例报告及文献复习
石丹1, 聂飒飒2, 冯哲2, 林淑芃2,()   
  1. 1010000 呼和浩特,内蒙古自治区中医医院肾病科
    2100853 北京,解放军总医院第一医学中心肾脏病医学部、肾脏疾病全国重点实验室、国家慢性肾病临床医学研究中心、重症肾脏疾病器械与中西医药物研发北京市重点实验室、数智中医泛血管疾病防治北京市重点实验室、国家中医药管理局高水平中医药重点学科(zyyzdxk-2023310)
  • 收稿日期:2025-02-28 出版日期:2025-12-28
  • 通信作者: 林淑芃

Renal cortical necrosis caused by infection after induced abortion: a case report with literature review

Dan Shi, Sasa Nie, Zhe Feng   

  • Received:2025-02-28 Published:2025-12-28
引用本文:

石丹, 聂飒飒, 冯哲, 林淑芃. 人工流产术后感染致肾皮质坏死:一例报告及文献复习[J/OL]. 中华肾病研究电子杂志, 2025, 14(06): 357-359.

Dan Shi, Sasa Nie, Zhe Feng. Renal cortical necrosis caused by infection after induced abortion: a case report with literature review[J/OL]. Chinese Journal of Kidney Disease Investigation(Electronic Edition), 2025, 14(06): 357-359.

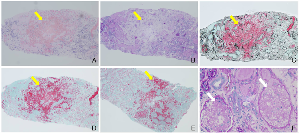
图1 肾脏组织病理学注:A、B、C和D:均为肾间质同一处片状、大量红细胞淤积,见黄色箭头处,染色和放大倍数依次为苏木精-伊红染色×100、过碘酸雪夫染色×100、过碘酸六胺银染色×100、马松三色染色×100;E:肾间质另一处片状、大量红细胞淤积,见黄色箭头处,马松三色染色×100;F:肾小球见固有细胞消失,见白色箭头处,肾小管管腔内见蛋白管型,过碘酸雪夫染色×400
表1 肾皮质坏死发病因素
[1]
Jiang L, Wang S, Tan Y, et al. Postpartum renal cortical necrosis: a case series [J]. Kidney Med, 2024, 6(10): 100892.
[2]
Ramachandran R, Nayak S, Anakutti HP, et al. Postpartum renal cortical necrosis is associated with atypical hemolytic uremic syndrome in developing countries [J]. Kidney Int Rep, 2018, 4(3): 420-424.
[3]
钟晓惠,陈华茜. 肾皮质坏死致急性肾损伤一例[J]. 临床肾脏病杂志2020, 20(1): 90-92.
[4]
Radhakrishnan H, Raja N, Masilamani S. Sepsis-related bilateral diffuse renal cortical necrosis in a young female [J]. J Nephrol, 2024, 37(3): 819-820.
[5]
Shahzad V, McDonald K, Murphy R, et al. Unilateral renal cortical necrosis [J]. Radiol Case Rep, 2024, 19(6): 2483-2486.
[6]
Kumar SB, Elango I, Balasubramanian K, et al. Renal allograft cortical necrosis in a COVID-19 positive patient [J]. Indian J Nephrol, 2023, 33(2): 125-127.
[7]
Jane CM, Unni VN, Kumar KV, et al. Naproxen induced acute interstitial nephritis with renal cortical necrosis [J]. Indian J Nephrol, 2020, 30(5): 334-336.
[8]
Berri J, Quintrec Donnette ML, Millet I, et al. Tranexamic acid-induced acute bilateral renal cortical necrosis in a young trauma patient: a case report and literature review [J]. BMC Nephrol, 2025, 26(1): 95.
[9]
Aksoy S, Hocaoglu E, Karahasanoglu A, et al. Bisphosphonate-induced bilateral acute renal cortical necrosis [J]. Radiol Case Rep, 2016, 10(2): 992.
[10]
Gupta A, Kuperman M, Shah S. N-methylamphetamine ( "crystal meth" )-associated acute renal cortical necrosis [J]. Kidney Int Rep, 2018, 3(6): 1473-1476.
[11]
Mansoor K, Zawodniak A, Nadasdy T, et al. Bilateral renal cortical necrosis associated with smoking synthetic cannabinoids [J]. World J Clin Cases, 2017, 5(6): 234-237.
[12]
Nakayama T, Mimura Y, Hirano K. Renal cortical hypoperfusion caused by glyphosate-surfactant herbicide [J]. Clin Exp Nephrol, 2019, 23(6): 865-866.
[13]
Gn YM, Ponnusamy A, Thimma V. Snakebite induced thrombotic microangiopathy leading to renal cortical necrosis [J]. Case Rep Nephrol, 2017, 2017: 1348749.
[14]
Amacher SA, Søgaard KK, Nkoulou C, et al. Bilateral acute renal cortical necrosis after a dog bite: case report [J]. BMC Infect Dis, 2021, 21(1): 231.
[15]
Salman LA, Hilburg R, Geara A, et al. Renal cortical necrosis-an atypical case from presentation to recovery [J]. Am J Kidney Dis, 2020, 75(4): 537-537.
[16]
Luo X, Cielo AG, Velez JCQ. Abnormal imaging findings of the kidneys in a patient with shock [J]. Kidney360, 2020, 1(12): 1462-1463.
[17]
Rehman FU, Rehan ST, Yousaf F, et al. Renal cortical necrosis- a rare manifestation of dengue fever: a case report [J]. Medicine (Baltimore), 2023, 102(43): e35719.
[18]
Sethi J, Nada R, Kohli HS, et al. Bilateral renal cortical necrosis in a case of granulomatosis with polyangitis [J]. Indian J Nephrol, 2019, 29(5): 369-371.
[19]
Haaskjold YL, Nylund K, Skrunes R. A rare case of unilateral renal cortical necrosis [J]. Case Rep Nephrol Dial, 2021, 11(1): 63-68.
[20]
Larakeb AS, Evrard S, Louillet F, et al. Acute renal cortical necrosis due to acquired antiprotein S antibodies [J]. Pediatr Nephrol, 2009, 24(1): 207-209.
[21]
Thaunat O, Aaron L, Desbene C, et al. Type III cryoglobulinemia complicated by renal cortical necrosis [J]. Am J Kidney Dis, 2005, 45(5): e79-e81.
[22]
Kumar R, Bansal N, Jhorawat R, et al. Renal cortical necrosis: a rare complication of Plasmodium vivax malaria [J]. Indian J Nephrol, 2014, 24(6): 390-393.
[23]
Bhaduaria D, Kaul A, Lal H, et al. Acute cortical necrosis in pregnancy still an important cause for end-stage renal disease in developing countries [J]. Saudi J Kidney Dis Transpl, 2019, 30(2): 325-333.
[24]
Kumar A, Rajput M, Kumar R, et al. Postpartum renal cortical necrosis: experience from a tertiary care center in India [J]. J Nephrol, 2025, 38(6): 1609-1618.
[25]
Basarici I, Belgi A, Yalcinkaya S. Tricuspid valve thrombus: a case report associated with gonadotropin-releasing hormone analogue therapy and review of the literature [J]. Can J Cardiol, 2008, 24(5): 401-403.
No related articles found!
阅读次数
全文


摘要


AI


AI小编
你好!我是《中华医学电子期刊资源库》AI小编,有什么可以帮您的吗?